We at Crack4sure are committed to giving students who are preparing for the ARDMS AE-Adult-Echocardiography Exam the most current and reliable questions . To help people study, we've made some of our AE Adult Echocardiography Examination exam materials available for free to everyone. You can take the Free AE-Adult-Echocardiography Practice Test as many times as you want. The answers to the practice questions are given, and each answer is explained.
What potential source of error is the greatest when calculating the aortic valve area by the continuity equation?
Which wall is indicated by the arrow on this image?

Which technique best determines a trileaflet aortic valve from a bicuspid aortic valve?
Which method is appropriate for measuring the left atrial diameter in parasternal long axis?
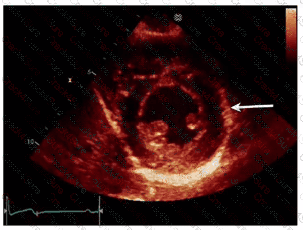
Which artery is identified by the arrow on this image?

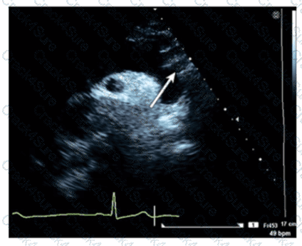
Which structure is the arrow pointing to in this video?

Which view is best for assessing atrial situs in the presence of congenital heart disease?
Which finding is demonstrated in this video?

Which of the following measurements is required for calculating the Qp/Qs ratio?
Which type of rendering is primarily utilized with three-dimensional echocardiography?

Which flow abnormality produces a continuous murmur?
During which phase of the cardiac cycle does mitral valve prolapse occur?
Which procedure is most appropriate for evaluation of an atrial septal defect in the presence of an atrial septal aneurysm?
Which of the following is a feature of constrictive pericarditis?
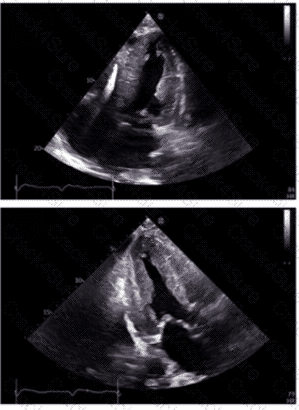
Which is the most likely abnormality represented in these images from a 48-year-old man with shortness of breath?


Which of the following conditions will increase in seventy with Valsalva maneuver?
What does the Qp represent in an atrial septal defect shunt ratio measurement (Qp/Qs)?
What is the incidental finding seen by color Doppler in this four-chamber view of a patient with left atrial enlargement?

Which diagnosis is most consistent with the findings in these images?


Which statement is most accurate regarding cardiac contusion?
Which mitral valve filling pattern is characterized by a long deceleration time and an E/A ratio of 0.6?
A patient presents in the emergency room with a history of chronic high Wood pressure and new onset severe back pain. A physical exam reveals a new diastolic murmur. Which would be the most likely finding?
What is the normal dP/dt value of left ventricular systolic function?
A patient presents with tender, red lesions on their fingers and toes (Osier nodes). Which finding is most likely?
Which statement is considered true regarding tricuspid annular plane systolic excursion (TAPSE)?
Which echocardiography assessment requires mitral inflow pulsed wave, pulmonary venous pulsed wave, and tissue Doppler of the mitral annulus?
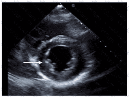
Which left ventricular regional wall segment is indicated by the arrow on this image?

Which phase of the cardiac cycle is indicated by the arrow on this image?

Sinus of Valsalva aneurysms most commonly rupture into which structure(s)?
Which method is useful for obtaining a good quality pulmonary vein spectral Doppler waveform for evaluation of diastolic function?
Which finding is associated with partial anomalous venous return?
Which method of measuring left atrial size is most recommended and most accurate?
A mitral valve pressure half-time of 220 ms is consistent with what mitral valve area?
Which acute disease state is indicated with McConnell's sign?
During which phase of the cardiac cycle does the left ventricular filling pressure equalize with left atrial pressure?
3 Months Free Update
3 Months Free Update
3 Months Free Update